What can Sentis actually look into?

01
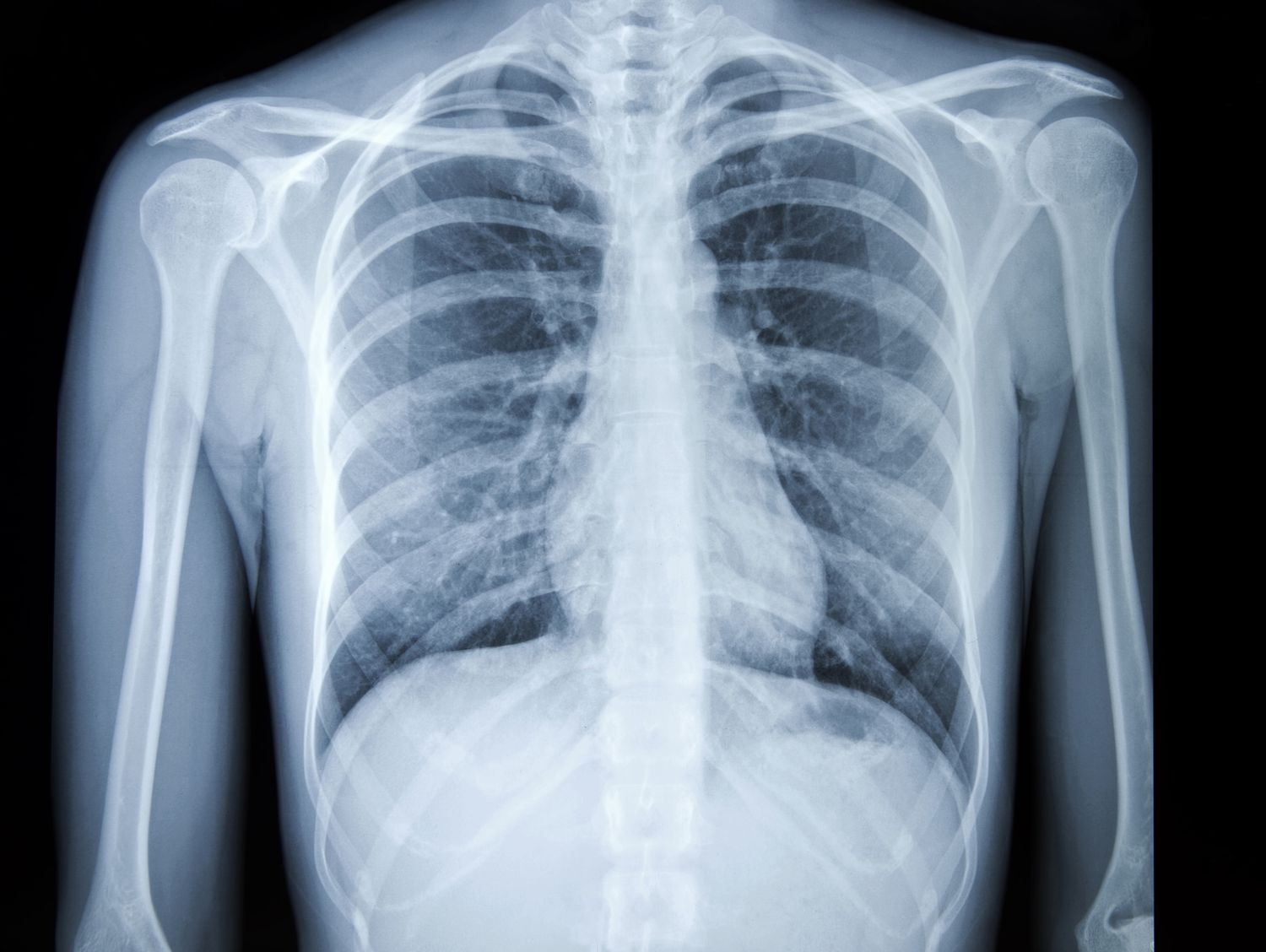
Dicoms
2D radiograph images, CT/MRI/PET dicoms (single sliced/multisliced), Ultrasound frames, Endoscopy, OCT, and Fundus imaging.

modality 02
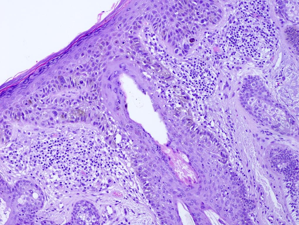
Histopathology
Histopathology image analysis for tissue-level findings and morphological reasoning, and broader microscopy.
03
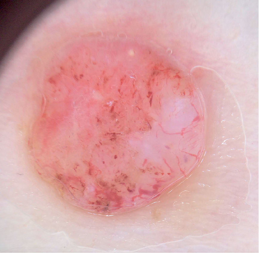
Dermoscopy

Dermoscopic image analysis for lesion characterization and pattern recognition.
04Clinical Skin Imaging
Standard camera photos of skin conditions parsed for dermatological insights.
05 — Lab Reports

Lab Reports
Blood work and diagnostic lab report parsing with contextual value interpretation.

modality 06
Handwritten Prescriptions
India-native OCR-powered analysis of handwritten medical prescriptions.

modality 07
PubMed Search
Literature search and synthesis from PubMed and official clinical guidelines.